
안녕하세요!
연세진정한치과 대표원장 dr.Q 입니다.
오늘은 오랫동안 치과 치료를 미루시다가 결국 용기를 내어
내원해주신 환자분의 케이스를 소개해드리려고 합니다.
사실 이분께서는 구강 내 주사에 대한 극심한 공포증을 가지고 계셨는데요.
어릴 때부터 주사를 맞는 것만 생각해도 식은땀이 날 정도로 두려워하셨다고 하셨습니다.
그래서 치아가 아파도 참고 견디시다가,
결국 더 이상 미룰 수 없는 상황까지 악화된 후에야 본원을 찾아오셨습니다.
처음 내원하셨을 때 환자분의 표정에서 얼마나 많은 고민과 걱정을 하셨는지가 고스란히 느껴졌는데요.
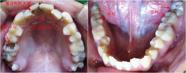
구강 검진 결과, 예상보다 상황이 심각했습니다.
오랜 기간 방치로 인해 전체적으로 충치가 상당히 진행된 상태였습니다.
특히 치열이 불규칙하게 배열되어 있어 칫솔질이 어려운 부위에
집중적으로 우식이 발생한 것으로 보였습니다.
상악 좌측 제1대구치(#16)에는 기존에 인레이 치료를 받으셨던
부위 아래쪽으로 2차 우식이 진행되어 인레이가 탈락된 상황이었고,
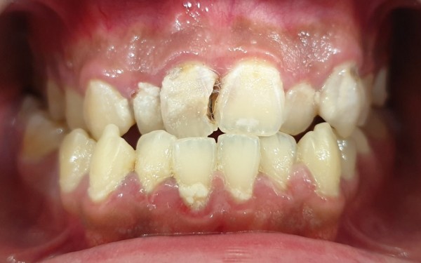
앞니 부분에도 상당한 우식이 관찰되었습니다.
전반적으로 여러 치아에 걸쳐 치료가 필요한 상태였죠.
무엇보다 환자분의 주사 공포증을 해결하는 것이 치료의 핵심이었는데요.
이런 경우 무리하게 일반 마취로 진행하면 오히려 트라우마가 더 심해질 수 있어서,
수면진정하에 치료를 진행하는 것이 노력이라고 판단했습니다.
환자분께 수면 치료에 대해 자세히 설명해드리고,
충분한 상담을 통해 치료 계획을 수립했습니다.
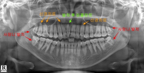
상하악 모든 사랑니 발치,
심하게 손상된 앞니는 발치 후 임플란트로 대체,
그리고 신경 치료가 필요한 여러 치아들에 대해서는
지르코니아 크라운으로 수복하기로 계획했습니다.
수면 진정 치료의 가장 큰 장점은 환자분이 치료 과정에서
느끼는 불안감과 공포감을 줄일 수 있다는 점인데요.
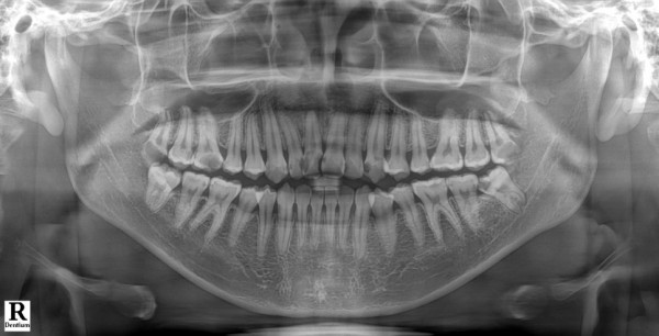
총 6개월에 걸쳐 여러 차례 수면 진정 하에 단계적으로 치료를 진행했습니다.
사랑니 발치부터 시작해서 신경 치료, 임플란트 식립,
그리고 마지막 보철물 장착까지 모든 과정을 차근차근 완료할 수 있었습니다.
특히 구치부의 여러 치아들은 레진 치료로 자연스럽게 회복시켰고,
손상이 심했던 치아들은 지르코니아 크라운으로 견고하게 수복해주었는데요.
임플란트 역시 성공적으로 골유착이 이루어져 마지막 보철까지 완벽하게 마무리되었습니다.
지금은 정기적인 검진을 통해 건강한 구강 상태를 잘 유지하고 계시며,
무엇보다 자신감 있게 웃으실 수 있게 되어 일상 생활의 만족도가 크게 향상되었다고 하십니다.
혹시 아직도 치과 공포증으로 고민하고 계시거나,
오랫동안 치료를 미루고 계신 분들이 계시다면 언제든 본원으로 문의주시면,
환자분의 상황에 맞는 좋은 치료 방법을 제안해드리겠습니다.
긴 글 읽어 주셔서 감사합니다.
"본 포스팅은 의료법에 의거하여, 치료를 앞둔 환자분들을 위한 정보제공을 목적으로 업로드하였습니다"