진료 칼럼

오래 방치한 치주질환 임플란트 치료 사례
  • 최고관리자
  • 25-09-17 16:26
4c8703db2d4969b560e9d62e6094588c_1758093213_3033.jpg

 

안녕하세요! 

연세진정한치과 대표원장 dr.Q 입니다.


----------

 


오랜 기간 치과 치료를 미루다가
상당히 진행된 상태에서 내원하시는 경우를 자주 접하게 됩니다.

처음에는 가벼운 잇몸 출혈이나 약간의 시림 정도로 시작되지만,
시간이 지나면서 여러 치아에 복합적인 문제가 발생하게 되죠.

특히 치주 질환과 치근 주변의 염증은 서서히 진행되어
환자분이 인지하기 어려운 경우가 많습니다.


4c8703db2d4969b560e9d62e6094588c_1758093216_3212.jpg


오늘 소개해드릴 사례도 그런 경우 중 하나입니다.
환자분께서는 여러 치아의 심한 흔들림과 불편함으로 내원해주셨습니다.

상담을 진행하면서 알게 된 것은,
몇 년 전부터 증상이 있었지만 바쁜 일정으로 인해
치과 내원을 계속 미루셨다는 점이었습니다.

그러는 사이 불편함은 점점 심해져서
일상생활에 상당한 지장을 받게 되신 상황이었습니다.



4c8703db2d4969b560e9d62e6094588c_1758093215_9918.jpg


 

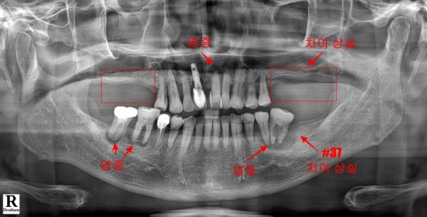
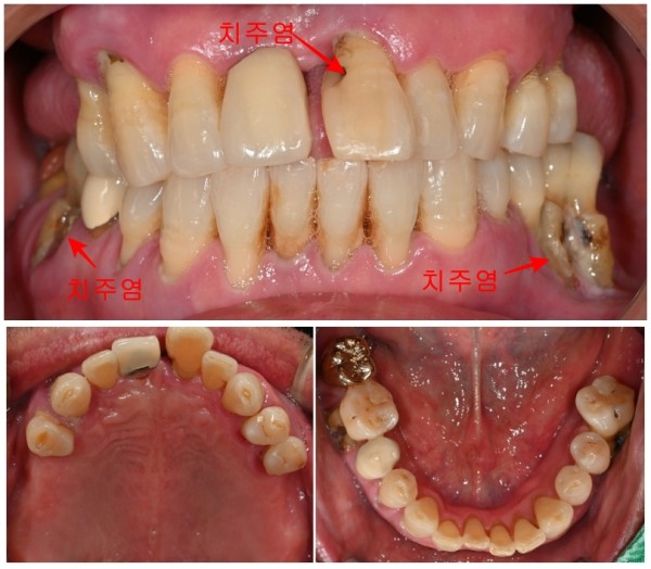
알맞은 진단을 위해 파노라마 촬영과 세밀한 구강 검진을 실시한 결과,

여러 치아에서 심각한 문제들이 발견되었습니다.


앞니 부분과 어금니 부분의 여러 치아에서 치주염이 상당히 진행되어 있었고,

치아 뿌리 끝 부분에도 염증이 광범위하게 퍼져 있는 상태였습니다.


더욱 심각한 것은 위쪽 어금니 부분이 이미 상실되어

오랜 기간 저작 기능을 제대로 하지 못하고 계셨다는 점이었습니다.




4c8703db2d4969b560e9d62e6094588c_1758093215_7417.jpg


첫 번째 치료 단계에서는 무엇보다 시급한 문제부터 해결하기로 했습니다.
염증이 심하게 진행된 앞니 한 개와 아래쪽 어금니 네 개를 발치하는 것부터 시작했습니다.


발치와 동시에 위쪽 어금니 부분에 임플란트를 식립하여
환자분이 가능한 빠른 시일 내에 저작 기능을 회복할 수 있도록 했습니다.



4c8703db2d4969b560e9d62e6094588c_1758093215_1577.jpg


이때 임플란트 위치 선정과 각도 조절을 위해
사전에 디지털장비를 이용해 계획했는데요.

이러한 작업을 통해 수술 시간도 단축되고
환자분의 부담도 줄일 수 있습니다.

또한 양쪽 어금니 부분의 부족한 치조골 상태를
개선하기 위한 상악동거상술도 함께 진행했습니다.


4c8703db2d4969b560e9d62e6094588c_1758093214_9091.jpg

 

두 번째 치료 단계에서는 아래쪽 어금니 부분에 집중했습니다.

 첫 번째 치료에서 발치했던 부위들과 추가로

한 개의 어금니 부위에 총 다섯 개의 임플란트를 식립했습니다.


그런데 이 부위는 예상했던 것보다 뼈 손실이 훨씬 심각한 상태였습니다.