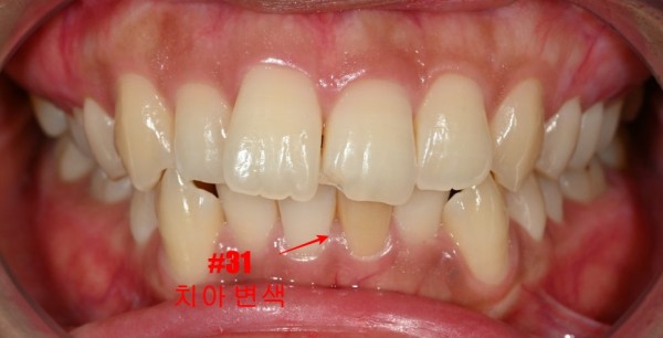
신경치료를 받은 치아가 변색되는 것은 사실 꽤 흔한 일입니다.
신경이 없어진 치아는 혈액 공급이 중단되면서 자연스럽게 색이 어두워지는 경우가 많거든요.
하지만 앞니 부위라서 미소 지을 때마다 눈에 띄어 스트레스를 받으셨다고 하시더라고요.
·
·
·
모든 치료 완료 후 모습을 거울로 확인하실 때
"정말 자연스럽네요. 어떤 게 치료받은 치아인지 모르겠어요"라며
매우 만족해하셨습니다.
신경치료를 받으신 치아의 변색이 걱정되시거나, 치아 색깔 변화로 고민이 있으시다면
언제든 상담받아보시길 바랍니다.
오늘 소개해드린 사례처럼 올바른 진단을 통해 알맞은 해결방법을 찾아드리겠습니다.
모든 치료과정은 공식 블로그에서 확인하실 수 있습니다.
▼▼▼
긴 글 읽어주셔서 감사합니다.