진료 칼럼

상악 앞니 파절 자연스러운 레진 치료 사례
  • 최고관리자
  • 25-11-14 18:04
abbe57e004702ec959bb3c3a03430147_1763105452_134.jpg

앞니가 갑자기 깨져서 당황스러우셨던 경험 있으신가요?

넘어지거나 부딪혀서 앞니 일부가 깨지면 그 순간 만큼은 정말 막막하실 텐데요.

거울을 볼 때마다 신경 쓰이고, 사람들과 대화할 때도 웃는 게 꺼려지게 됩니다.

오늘은 앞니 파절로 고민하시다가

저희 병원을 찾아주신 환자분의 치료 과정을 소개해 드리겠습니다.


abbe57e004702ec959bb3c3a03430147_1763105662_3447.jpg

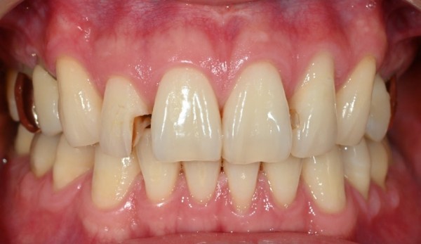
이번 환자분께서는 상악 앞니 한 개가 일부 파절된 상황이었는데요.

다행히 부딪힌 정도가 심하지 않아서 치아 전체가 부러지거나 흔들리는 상태는 아니었습니다.


하지만 치아 끝부분이 날카롭게 깨져 있어서

입술이나 혀에 자꾸 쓸리고, 외관상 티가 많이 나서

환자분께서 상당히 스트레스를 받고 계셨습니다.


·

·

·


abbe57e004702ec959bb3c3a03430147_1763105828_3055.jpg
 

치료 결과는 정말 만족스러웠는데요.

깨졌던 앞니가 원래 모습을 되찾았고,

색상도 주변 치아들과 잘 어울렸습니다.

혹시 앞니가 깨져서 고민하고 계신다면

혼자 걱정만 하지 마시고 병원을 방문해 보세요.

생각보다 간단하게 치료할 수 있는 경우가 많습니다.




궁금한 점이 있으시거나 검진을 원하신다면 언제든 저희 연세진정한치과를 편하게 찾아 주세요

올바른 진단과 알맞은 치료로 도움드리겠습니다.




모든 치료과정은 공식 블로그에서 확인하실 수 있습니다.

▼▼▼

연세진정한치과의원 임상블로그