진료 칼럼

파손된 앞니 레진 치료로 당일 회복
  • 최고관리자
  • 25-12-04 16:35
7178e2a0c987d1cc36b76736dc32fe62_1764832919_4327.jpg
 

앞니가 깨지면 인상이 달라보이죠?

앞니는 가장 눈에 띄는 만큼 깨질 경우 모든 순간이 신경쓰이기 마련입니다.

거울을 볼 때는 물론, 사람들과 대화할 때도 조심스러워지게 됩니다.

오늘은 앞니 파절로 고민하시다가

저희 병원을 찾아주신 환자 분의 치료 과정을 소개해 드리겠습니다.





7178e2a0c987d1cc36b76736dc32fe62_1764832922_8536.jpg

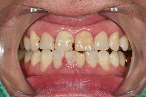
최근 20대 후반 직장인께서 앞니 파절로 내원하셨습니다.

위쪽 앞니와 아래쪽 앞니 일부가 깨져 나간 상태였는데요.
파절된 부분이 눈에 띄어서 일상생활에 불편함이 크다고 하셨습니다.

상태 파악을 위해 구강 내 검진과 엑스레이 촬영을 진행했습니다.
검사 결과 상악 우측 중절치와 하악 좌측 중절치에 파절이 확인되었죠.

다행히 치아 뿌리나 신경에는 문제가 없었습니다.


이런 경우에는 레진을 이용한 수복 치료로 충분히 회복이 가능합니다.
 

·

·

·


7178e2a0c987d1cc36b76736dc32fe62_1764832926_1847.png
 

치료 결과는 정말 만족스러웠는데요.

깨졌던 앞니가 원래 모습을 되찾았고,

치료 부위를 찾기 힘들 정도로 잘 어울렷습니다.

 

레진을 이용한 앞니 수복 치료는

비교적 간단하면서도 효과적이지만,


파절 범위가 너무 크거나 신경이 노출된 경우에는

다른 치료법이 필요할 수 있습니다.



앞니 파절이나 손상으로 고민하고 계시다면,

빠른 시일 내에 치과를 찾으셔서 진단을 받아보시길 권해드립니다.




궁금한 점이 있으시거나 검진을 원하신다면 언제든 저희 연세진정한치과를 편하게 찾아 주세요

올바른 진단과 알맞은 치료로 도움드리겠습니다.




모든 치료과정은 공식 블로그에서 확인하실 수 있습니다.

▼▼▼

연세진정한치과의원 임상블로그